|
Background: |
The protein encoded by this gene is a nicotinic acetylcholine receptor subunit and a member of a superfamily of ligand-gated ion channels that mediate fast signal transmission at synapses. These receptors are thought to be heteropentamers composed of separate but similar subunits. Defects in this gene have been linked to susceptibility to lung cancer type 2 (LNCR2). |
|
Applications: |
ELISA, WB, IHC |
|
Name of antibody: |
CHRNA5 |
|
Immunogen: |
Synthetic peptide of human CHRNA5 |
|
Full name: |
cholinergic receptor, nicotinic, alpha 5 (neuronal) |
|
Synonyms: |
LNCR2 |
|
SwissProt: |
P30532 |
|
ELISA Recommended dilution: |
5000-10000 |
|
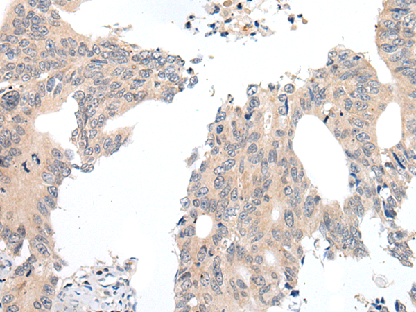
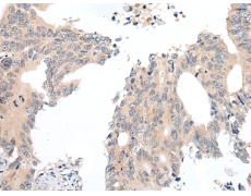
IHC positive control: |
Human colorectal cancer |
|
IHC Recommend dilution: |
25-100 |
|
WB Predicted band size: |
53 kDa |
|
WB Positive control: |
Jurkat cell |
|
WB Recommended dilution: |
200-1000 |

購物車
幫助
021-54845833/15800441009
