中文名稱: 兔抗ADAP2多克隆抗體
|
Background: |
GTPase-activating protein for the ADP ribosylation factor family (Potential). Binds phosphatidylinositol 3,4,5-trisphosphate (PtdInsP3) and inositol 1,3,4,5-tetrakisphosphate (InsP4). Possesses a stoichiometry of two binding sites for InsP4 with identical affinity. |
|
Applications: |
ELISA, IHC |
|
Name of antibody: |
ADAP2 |
|
Immunogen: |
Fusion protein of human ADAP2 |
|
Full name: |
ArfGAP with dual PH domains 2 |
|
Synonyms: |
CENTA2; cent-b; HSA272195 |
|
SwissProt: |
Q9NPF8 |
|
ELISA Recommended dilution: |
5000-10000 |
|
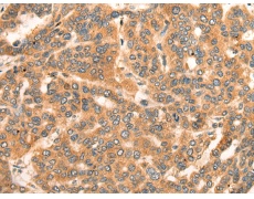
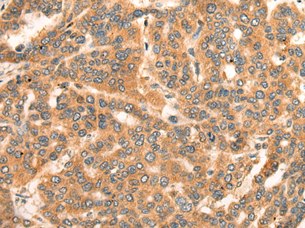
IHC positive control: |
Human liver cancer |
|
IHC Recommend dilution: |
25-100 |
購物車
幫助
021-54845833/15800441009
