|
Background: |
The protein encoded by this gene is a member of the fibroblast growth factor (FGF) family. FGF family members possess broad mitogenic and cell survival activities, and are involved in a variety of biological processes including embryonic development cell growth, morphogenesis, tissue repair, tumor growth and invasion. This growth factor is a high affinity, heparin dependent ligand for FGFR4. Expression of this gene was detected only in fetal but not adult brain tissue. Synergistic interaction of the chick homolog and Wnt-8c has been shown to be required for initiation of inner ear development. |
|
Applications: |
ELISA, IHC |
|
Name of antibody: |
FGF19 |
|
Immunogen: |
Synthetic peptide of human FGF19 |
|
Full name: |
fibroblast growth factor 19 |
|
SwissProt: |
O95750 |
|
ELISA Recommended dilution: |
5000-10000 |
|
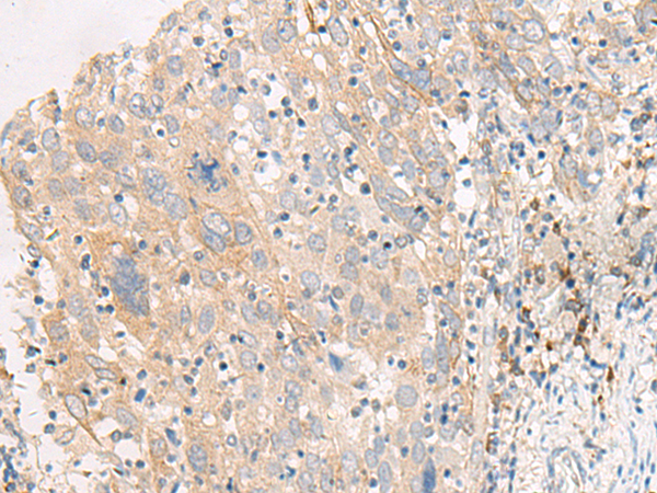
IHC positive control: |
Human cervical cancer |
|
IHC Recommend dilution: |
25-100 |

購物車
幫助
021-54845833/15800441009
