|
Background: |
This gene encodes a protein that is related to epidermal growth factor receptor pathway substrate 8 (EPS8), a substrate for the epidermal growth factor receptor. The function of this protein is unknown. At least two alternatively spliced transcript variants encoding different isoforms have been found for this gene. |
|
Applications: |
WB, IHC |
|
Name of antibody: |
EPS8L1 |
|
Immunogen: |
Synthesized peptide derived from internal of human ES8L1. |
|
Full name: |
EPS8-like 1 |
|
Synonyms: |
DRC3; EPS8R1; PP10566 |
|
SwissProt: |
Q8TE68 |
|
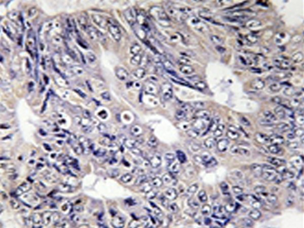
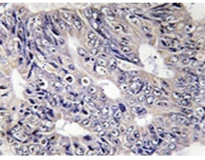
IHC positive control: |
Human colon carcinoma tissue |
|
IHC Recommend dilution: |
50-100 |
|
WB Predicted band size: |
80 kDa |
|
WB Positive control: |
HT29 and COLO205 cells lysates |
|
WB Recommended dilution: |
500-3000 |

購(gòu)物車
幫助
021-54845833/15800441009
