|
Background: |
The synaptonemal complex is a proteinaceous structure that links homologous chromosomes during the prophase of meiosis. The protein encoded by this gene is a major component of the synaptonemal complex and may bind DNA at scaffold attachment regions. The encoded protein requires synaptonemal complex protein 3, but not 1, for inclusion in the synaptonemal complex. |
|
Applications: |
ELISA, IHC |
|
Name of antibody: |
SYCP2 |
|
Immunogen: |
Synthetic peptide of human SYCP2 |
|
Full name: |
synaptonemal complex protein 2 |
|
Synonyms: |
SCP2; SCP-2 |
|
SwissProt: |
Q9BX26 |
|
ELISA Recommended dilution: |
5000-10000 |
|
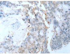
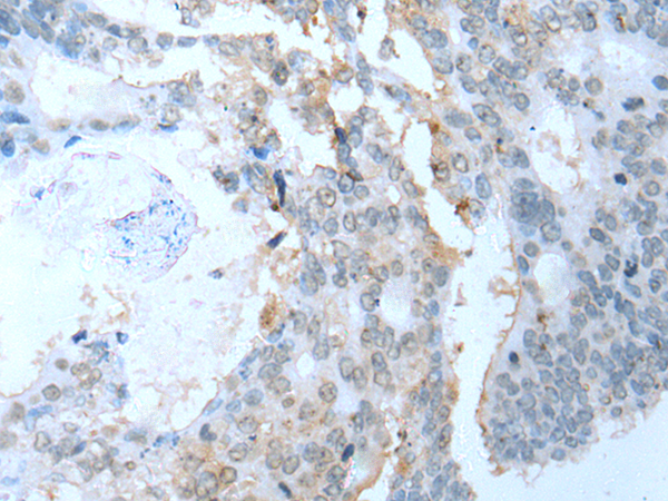
IHC positive control: |
Human colorectal cancer |
|
IHC Recommend dilution: |
10-50 |
購物車
幫助
021-54845833/15800441009
