中文名稱:兔抗CABP5多克隆抗體
|
Background: |
The product of this gene belongs to a subfamily of calcium binding proteins, which share similarity to calmodulin. Calcium binding proteins are an important component of calcium mediated cellular signal transduction. Expression of this gene is retina-specific. The mouse homolog of this protein has been shown to express in the inner nuclear layer of the retina, suggested its role in neuronal functioning. The specific function of this gene is unknown. |
|
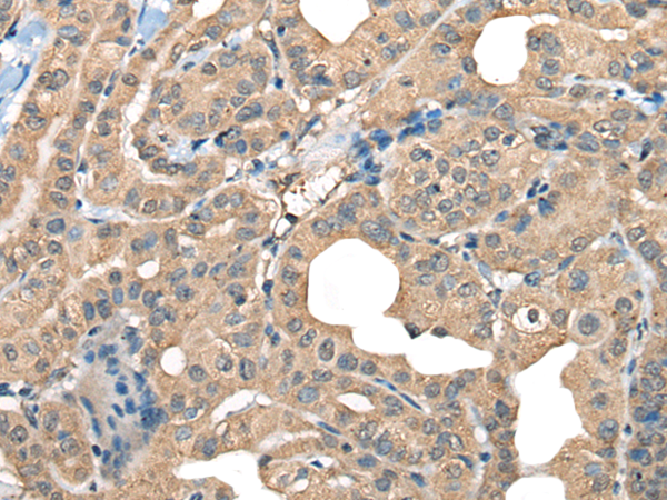
Applications: |
ELISA, IHC |
|
Name of antibody: |
CABP5 |
|
Immunogen: |
Full length fusion protein |
|
Full name: |
calcium binding protein 5 |
|
Synonyms: |
CABP3 |
|
SwissProt: |
Q9NP86 |
|
ELISA Recommended dilution: |
5000-10000 |
|
IHC positive control: |
Human thyroid cancer and human ovarian cancer |
|
IHC Recommend dilution: |
50-300 |


購物車
幫助
021-54845833/15800441009
