|
Background: |
PICH (Plk1-interacting checkpoint helicase), also known as DNA excision repair protein ERCC-6-like (ERCC6L) or tumor antigen BJ-HCC-15, is a 1,250 amino acid protein belonging to the SNF2/RAD54 helicase family. PICH is a DNA helicase and an essential component of the spindle assembly checkpoint. During mitosis, PICH recruits MAD2 to kinetochores and also regulates the tension on centromic chromatin. PICH is concentrated in between the kinetochores in prometophase cells, while in metaphase it localizes to the thin threads composed of catenated centromeric DNA that stretch between sister kinetochores. PICH is phosphorylated by Plk, which prevents PICH from associating with chromosome arms and restricts the localization of PICH to the kinetochore-centromere region. PICH/Plk interaction is also required for correct Plk localization to the kinetochore. PICH contains one helicase ATP-binding domain, two TPR repeats and one helicase C-terminal domain. |
|
Applications: |
ELISA, IHC |
|
Name of antibody: |
ERCC6L |
|
Immunogen: |
Fusion protein of human ERCC6L |
|
Full name: |
excision repair cross-complementation group 6-like |
|
Synonyms: |
PICH; RAD26L |
|
SwissProt: |
Q2NKX8 |
|
ELISA Recommended dilution: |
2000-5000 |
|
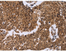
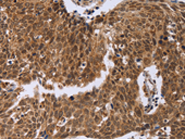
IHC positive control: |
Human cervical cancer and human colon cancer |
|
IHC Recommend dilution: |
50-200 |
購物車
幫助
021-54845833/15800441009
