中文名稱:兔抗ANXA8多克隆抗體
|
Background: |
This gene encodes a member of the annexin family of evolutionarily conserved Ca2+ and phospholipid binding proteins. The encoded protein may function as an an anticoagulant that indirectly inhibits the thromboplastin-specific complex. Overexpression of this gene has been associated with acute myelocytic leukemia. A highly similar duplicated copy of this gene is found in close proximity on the long arm of chromosome 10. |
|
Applications: |
ELISA, IHC |
|
Name of antibody: |
ANXA8 |
|
Immunogen: |
Fusion protein of human ANXA8 |
|
Full name: |
annexin A8 |
|
Synonyms: |
ANX8 |
|
SwissProt: |
P13928 |
|
ELISA Recommended dilution: |
2000-5000 |
|
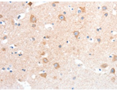
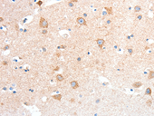
IHC positive control: |
Human brain and human lung cancer |
|
IHC Recommend dilution: |
25-100 |
購物車
幫助
021-54845833/15800441009
