|
Background: |
The ubiquitin-dependent protein degradation pathway is essential for proteolysis of intracellular proteins and peptides. Enzymes that remove ubiquitin from ubiquitin-conjugated peptides, like USP28, affect the fate and degradation of intracellular proteins and are essential for maintenance of cell-free ubiquitin pools (Valero et al., 2001). |
|
Applications: |
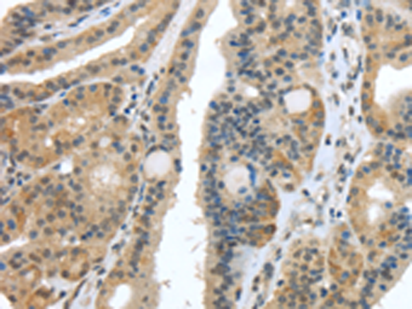
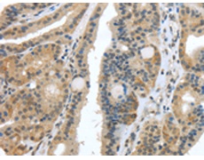
ELISA, IHC |
|
Name of antibody: |
USP28 |
|
Immunogen: |
Synthetic peptide of humanUSP28 |
|
Full name: |
ubiquitin specific peptidase 28 |
|
SwissProt: |
Q96RU2 |
|
ELISA Recommended dilution: |
2000-5000 |
|
IHC positive control: |
Human thyroid cancer |
|
IHC Recommend dilution: |
25-100 |
購(gòu)物車
幫助
021-54845833/15800441009
