|
Background: |
Chromatin reader that specifically recognizes and binds histone H3 both trimethylated at 'Lys-4' and asymmetrically dimethylated at 'Arg-8' (H3K4me3 and H3R8me2a) and acts as an activator of Wnt signaling pathway dowstream of PRMT2. In case of cancer, promotes cell cancer proliferation via activation of the Wnt signaling pathway (). Overexpression induces metaphase arrest and chromosomal instability. Localizes to active rDNA loci and promotes the expression of rRNA genes (). May play a role in cell-cycle regulation during the transition from gamete to embryo. Involved in oocyte meiotic resumption, a process that takes place before ovulation to resume meiosis of oocytes blocked in prophase I: may act by regulating maternal transcripts to control meiotic resumption. |
|
Applications: |
WB |
|
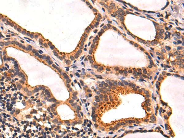
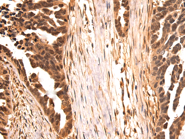
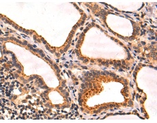
Name of antibody: |
SPIN1 |
|
Immunogen: |
Synthesized peptide derived from internal of human SPIN1. |
|
Full name: |
spindlin 1 |
|
Synonyms: |
SPIN |
|
SwissProt: |
Q9Y657 |
|
WB Predicted band size: |
30 kDa |
|
WB Positive control: |
Hela cells lysate |
|
WB Recommended dilution: |
500-3000 |


購物車
幫助
021-54845833/15800441009
