中文名稱: 兔抗UNCX多克隆抗體
|
Background: |
UNCX (UNC homeobox), also known as UNCX4.1, is a 531 amino acid nuclear transcription factor involved in neurogenesis and somitogenesis. Containing one homeobox DNA-binding domain, UNCX belongs to the paired homeobox family and UNC4 subfamily. UNCX assists in the formation of connections between hypothalamic neurons and the pituitary, which is necessary for central neurons to deliver hormones into peripheral blood. UNCX also plays a role in maintaining differentiation of the axial skeleton and acts upstream of Pax-9. The gene encoding UNCX maps to human chromosome 7, which houses over 1,000 genes and comprises nearly 5% of the human genome. Chromosome 7 has been linked to Osteogenesis imperfecta, Pendred syndrome, Lissencephaly, Citrullinemia and Shwachman-Diamond syndrome. |
|
Applications: |
ELISA, IHC |
|
Name of antibody: |
UNCX |
|
Immunogen: |
Synthetic peptide of human UNCX |
|
Full name: |
UNC homeobox |
|
Synonyms: |
UNCX4.1 |
|
SwissProt: |
A6NJT0 |
|
ELISA Recommended dilution: |
5000-10000 |
|
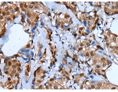
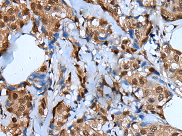
IHC positive control: |
Human breast cancer |
|
IHC Recommend dilution: |
25-100 |
購物車
幫助
021-54845833/15800441009
