中文名稱: 兔抗TRPM8多克隆抗體
|
Background: |
Transient receptor potential ion channels (TRPC) are a superfamily of six transmembrane segment-spanning gated cation channels. TRP subtypes mediate store-operated Ca2+ entry, a process involving Ca2+ influx and replenishment of Ca2+ stores formerly emptied through the action of inositol 1,4,5-trisphosphate production and other Ca2+ mobilizing agents. |
|
Applications: |
ELISA, IHC |
|
Name of antibody: |
TRPM8 |
|
Immunogen: |
Fusion protein of human TRPM8 |
|
Full name: |
transient receptor potential cation channel, subfamily M, member 8 |
|
Synonyms: |
TRPP8; LTRPC6 |
|
SwissProt: |
Q7Z2W7 |
|
ELISA Recommended dilution: |
1000-2000 |
|
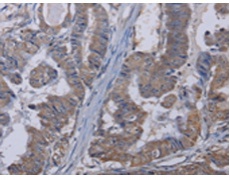
IHC positive control: |
Human esophagus cancer |
|
IHC Recommend dilution: |
25-100 |

購物車
幫助
021-54845833/15800441009
