中文名稱:兔抗DIMT1多克隆抗體
|
Background: |
Specifically dimethylates two adjacent adenosines in the loop of a conserved hairpin near the 3'-end of 18S rRNA in the 40S particle. |
|
Applications: |
ELISA, WB, IHC |
|
Name of antibody: |
DIMT1 |
|
Immunogen: |
Full length fusion protein |
|
Full name: |
DIM1 dimethyladenosine transferase 1 homolog |
|
Synonyms: |
DIM1; DIMT1L; HUSSY5; HSA9761 |
|
SwissProt: |
Q9UNQ2 |
|
ELISA Recommended dilution: |
5000-10000 |
|
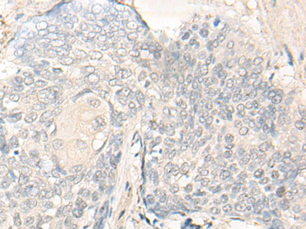
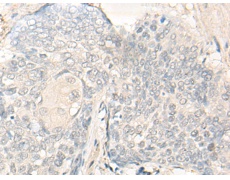
IHC positive control: |
Human liver cancer and Human esophagus cancer |
|
IHC Recommend dilution: |
30-150 |
|
WB Predicted band size: |
35 kDa |
|
WB Positive control: |
231 and Raji cell lysates |
|
WB Recommended dilution: |
500-2000 |


購物車
幫助
021-54845833/15800441009
