中文名稱:兔抗YPEL1多克隆抗體
|
Background: |
This gene is located in the region associated with DiGeorge syndrome on chromosome 22. The encoded protein localizes to the centrosome and nucleolus and may play a role in the regulation of cell division. |
|
Applications: |
ELISA, IHC |
|
Name of antibody: |
YPEL1 |
|
Immunogen: |
Full length fusion protein |
|
Full name: |
yippee like 1 |
|
Synonyms: |
FKSG3 |
|
SwissProt: |
O60688 |
|
ELISA Recommended dilution: |
5000-10000 |
|
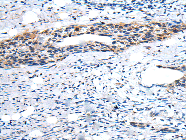
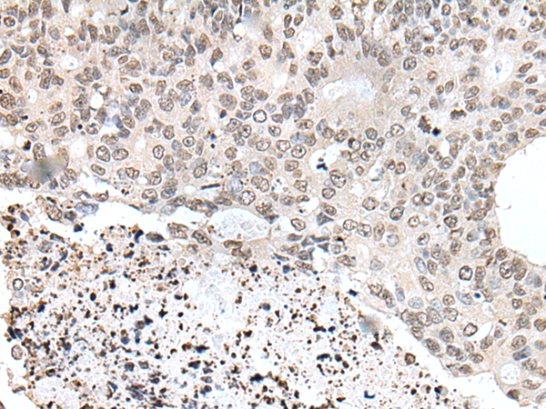
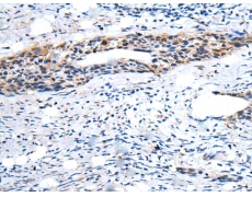
IHC positive control: |
Human colorectal cancer and human cervical cancer |
|
IHC Recommend dilution: |
25-100 |

購物車
幫助
021-54845833/15800441009
