中文名稱:兔抗YPEL2多克隆抗體
|
Background: |
YPEL2 (yippee-like 2) belongs to a family of five yippee-like proteins, all of which localize to the centrosome or mitotic spindle and are widely expressed in both adult and fetal tissue. This localization plus the fact that the family of human YPEL proteins share a high degree of sequence homology across species suggests that these proteins may have a conserved function involved in cell division. YPEL2 might be an important factor during the development and malignant transformation of tissues, most notably pancreatic and breast tumors. |
|
Applications: |
ELISA, IHC |
|
Name of antibody: |
YPEL2 |
|
Immunogen: |
Full length fusion protein |
|
Full name: |
yippee like 2 |
|
Synonyms: |
FKSG4 |
|
SwissProt: |
Q96QA6 |
|
ELISA Recommended dilution: |
5000-10000 |
|
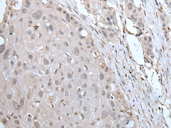
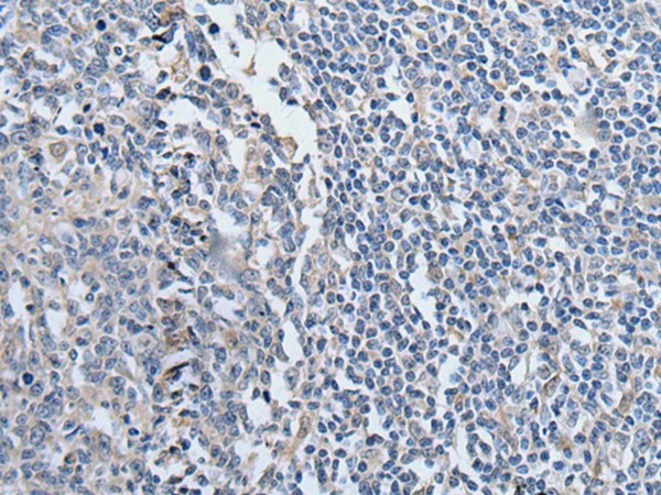
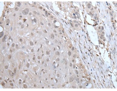
IHC positive control: |
Human lung cancer and human thyroid cancer |
|
IHC Recommend dilution: |
25-100 |

購(gòu)物車
幫助
021-54845833/15800441009
