|
Background: |
G-protein signaling modulators (GPSMs) play diverse functional roles through their interaction with G-protein subunits. This gene encodes a receptor-independent activator of G protein signaling, which is one of several factors that influence the basal activity of G-protein signaling systems. The protein contains seven tetratricopeptide repeats in its N-terminal half and four G-protein regulatory (GPR) motifs in its C-terminal half. Multiple alternatively spliced transcript variants encoding different isoforms have been found for this gene. |
|
Applications: |
ELISA, WB, IHC |
|
Name of antibody: |
GPSM1 |
|
Immunogen: |
Fusion protein of human GPSM1 |
|
Full name: |
G protein signaling modulator 1 |
|
Synonyms: |
AGS3 |
|
SwissProt: |
Q86YR5 |
|
ELISA Recommended dilution: |
5000-10000 |
|
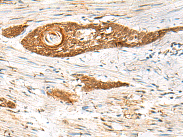
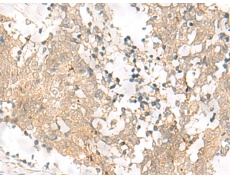
IHC positive control: |
Human esophagus cancer and Human lung cancer |
|
IHC Recommend dilution: |
50-300 |
|
WB Predicted band size: |
75 kDa |
|
WB Positive control: |
Human cerebrum tissue and Mouse brain tissue lysates |
|
WB Recommended dilution: |
500-2000 |



購物車
幫助
021-54845833/15800441009
