中文名稱(chēng):兔抗ZFP36L2多克隆抗體
|
Background: |
This gene is a member of the TIS11 family of early response genes. Family members are induced by various agonists such as the phorbol ester TPA and the polypeptide mitogen EGF. The encoded protein contains a distinguishing putative zinc finger domain with a repeating cys-his motif. This putative nuclear transcription factor most likely functions in regulating the response to growth factors. |
|
Applications: |
ELISA, IHC |
|
Name of antibody: |
ZFP36L2 |
|
Immunogen: |
Synthetic peptide of human ZFP36L2 |
|
Full name: |
ZFP36 ring finger protein-like 2 |
|
Synonyms: |
BRF2; ERF2; ERF-2; TIS11D; RNF162C |
|
SwissProt: |
P47974 |
|
ELISA Recommended dilution: |
2000-5000 |
|
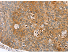
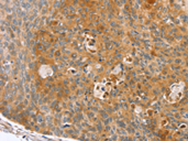
IHC positive control: |
Human esophagus cancer and Human brain |
|
IHC Recommend dilution: |
25-100 |
購(gòu)物車(chē)
幫助
021-54845833/15800441009
