中文名稱:兔抗COL4A3多克隆抗體
|
Background: |
Type IV collagen, the major structural component of basement membranes, is a multimeric protein composed of 3 alpha subunits. These subunits are encoded by 6 different genes, alpha 1 through alpha 6, each of which can form a triple helix structure with 2 other subunits to form type IV collagen. This gene encodes alpha 3. In the Goodpasture syndrome, autoantibodies bind to the collagen molecules in the basement membranes of alveoli and glomeruli. The epitopes that elicit these autoantibodies are localized largely to the non-collagenous C-terminal domain of the protein. A specific kinase phosphorylates amino acids in this same C-terminal region and the expression of this kinase is upregulated during pathogenesis. This gene is also linked to an autosomal recessive form of Alport syndrome. The mutations contributing to this syndrome are also located within the exons that encode this C-terminal region. Like the other members of the type IV collagen gene family, this gene is organized in a head-to-head conformation with another type IV collagen gene so that each gene pair shares a common promoter. |
|
Applications: |
ELISA, IHC |
|
Name of antibody: |
COL4A3 |
|
Immunogen: |
Synthetic peptide of human COL4A3 |
|
Full name: |
collagen, type IV, alpha 3 (Goodpasture antigen) |
|
SwissProt: |
Q01955 |
|
ELISA Recommended dilution: |
2000-5000 |
|
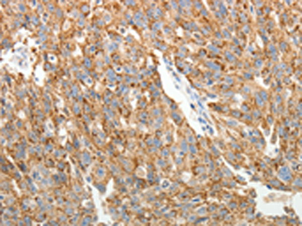
IHC positive control: |
Human ovarian cancer and Human thyroid cancer |
|
IHC Recommend dilution: |
25-100 |
購物車
幫助
021-54845833/15800441009
