|
Background: |
Members of the F-box protein family, such as FBXO34, are characterized by an approximately 40-amino acid F-box motif. SCF complexes, formed by SKP1 (MIM 601434), cullin (see CUL1; MIM 603134), and F-box proteins, act as protein-ubiquitin ligases. F-box proteins interact with SKP1 through the F box, and they interact with ubiquitination targets through other protein interaction domains (Jin et al., 2004 [PubMed 15520277]).[supplied by OMIM, Mar 2008] |
|
Applications: |
ELISA, IHC |
|
Name of antibody: |
FBXO34 |
|
Immunogen: |
Fusion protein of human FBXO34 |
|
Full name: |
F-box protein 34 |
|
Synonyms: |
Fbx34; CGI-301 |
|
SwissProt: |
Q9NWN3 |
|
ELISA Recommended dilution: |
5000-10000 |
|
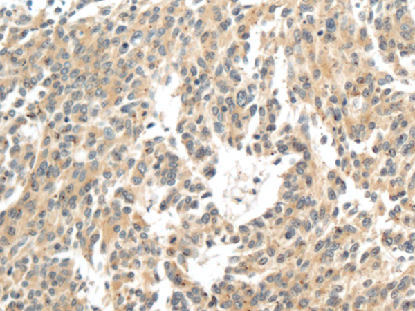
IHC positive control: |
Human colorectal cancer |
|
IHC Recommend dilution: |
100-300 |

購物車
幫助
021-54845833/15800441009
