|
Background: |
This gene is a member of the cullin family. The encoded protein forms a complex that functions as an E3 ubiquitin ligase and catalyzes the polyubiquitination of specific protein substrates in the cell. The protein interacts with a ring finger protein, and is required for the proteolysis of several regulators of DNA replication including chromatin licensing and DNA replication factor 1 and cyclin E. Multiple transcript variants encoding different isoforms have been found for this gene. |
|
Applications: |
ELISA, IHC |
|
Name of antibody: |
CUL4B |
|
Immunogen: |
Synthetic peptide of human CUL4B |
|
Full name: |
cullin 4B |
|
Synonyms: |
SFM2; MRXSC; MRXHF2; MRXS15 |
|
SwissProt: |
Q13620 |
|
ELISA Recommended dilution: |
2000-5000 |
|
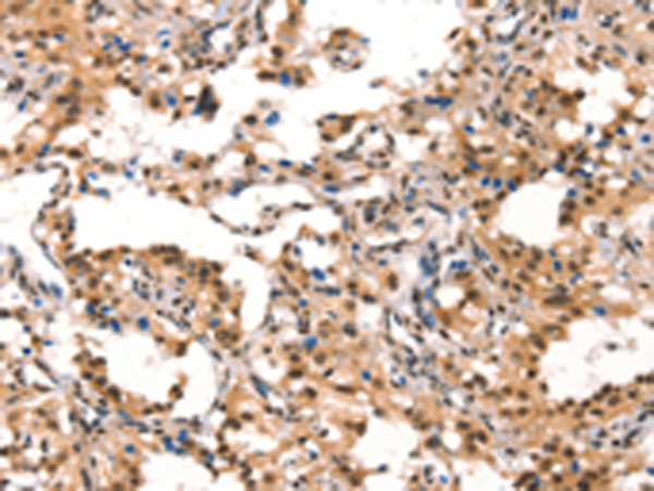
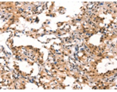
IHC positive control: |
Human thyroid cancer and Human gastric cancer |
|
IHC Recommend dilution: |
50-200 |
購物車
幫助
021-54845833/15800441009
