中文名稱: 兔抗UBXN1多克隆抗體
|
Background: |
Ubiquitin-binding protein that interacts with the BRCA1-BARD1 heterodimer, and regulates its activity. Specifically binds 'Lys-6'-linked polyubiquitin chains. Interaction with autoubiquitinated BRCA1, leads to inhibit the E3 ubiquitin-protein ligase activity of the BRCA1-BARD1 heterodimer. Component of a complex required to couple deglycosylation and proteasome-mediated degradation of misfolded proteins in the endoplasmic reticulum that are retrotranslocated in the cytosol. |
|
Applications: |
ELISA, WB, IHC |
|
Name of antibody: |
UBXN1 |
|
Immunogen: |
Full length fusion protein |
|
Full name: |
UBX domain protein 1 |
|
Synonyms: |
2B28; SAKS1; UBXD10 |
|
SwissProt: |
Q04323 |
|
ELISA Recommended dilution: |
5000-10000 |
|
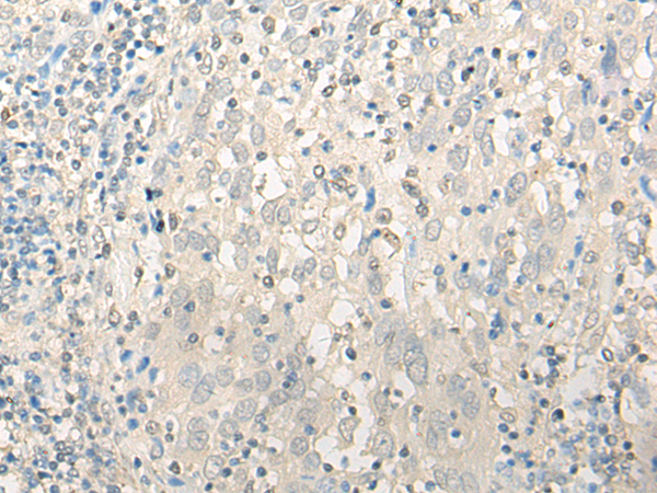
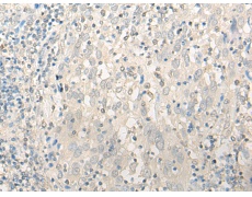
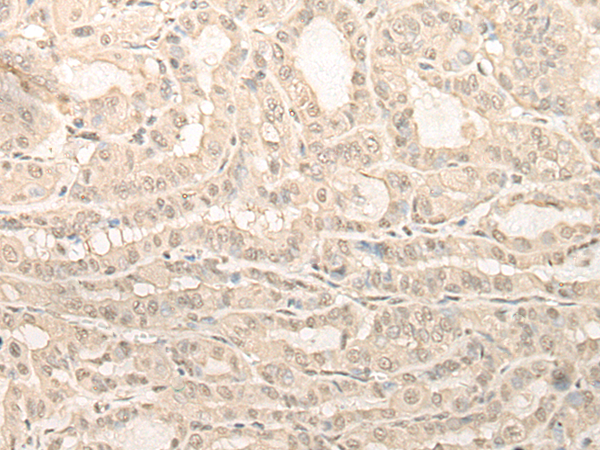
IHC positive control: |
Human thyroid cancer and Human cervical cancer |
|
IHC Recommend dilution: |
40-200 |
|
WB Predicted band size: |
33 kDa |
|
WB Positive control: |
Mouse brain tissue,Hela and HEPG2 cell lysates |
|
WB Recommended dilution: |
500-2000 |

購物車
幫助
021-54845833/15800441009
