|
Background: |
Desmosomes are cell-cell junctions between epithelial, myocardial, and certain other cell types. Desmoglein 3 is a calcium-binding transmembrane glycoprotein component of desmosomes in vertebrate epithelial cells. Currently, three desmoglein subfamily members have been identified and all are members of the cadherin cell adhesion molecule superfamily. These desmoglein gene family members are located in a cluster on chromosome 18. |
|
Applications: |
ELISA, WB, IHC |
|
Name of antibody: |
DSG3 |
|
Immunogen: |
Synthetic peptide of human DSG3 |
|
Full name: |
desmoglein 3 |
|
Synonyms: |
PVA; CDHF6 |
|
SwissProt: |
P32926 |
|
ELISA Recommended dilution: |
5000-10000 |
|
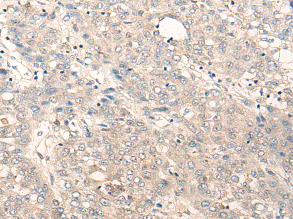
IHC positive control: |
Human liver cancer |
|
IHC Recommend dilution: |
20-100 |
|
WB Predicted band size: |
108 kDa |
|
WB Positive control: |
Human tongue and esophagus cancer tissue |
|
WB Recommended dilution: |
200-1000 |

購物車
幫助
021-54845833/15800441009
