|
Background: |
May be required for sperm motility and function. |
|
Applications: |
ELISA, WB, IHC |
|
Name of antibody: |
ENO4 |
|
Immunogen: |
Synthetic peptide of human ENO4 |
|
Full name: |
enolase family member 4 |
|
Synonyms: |
C10orf134 |
|
SwissProt: |
A6NNW6 |
|
ELISA Recommended dilution: |
5000-10000 |
|
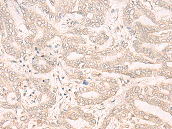
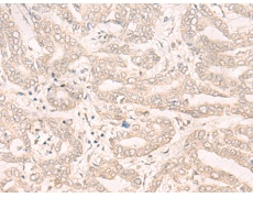
IHC positive control: |
Human liver cancer |
|
IHC Recommend dilution: |
30-150 |
|
WB Predicted band size: |
69 kDa |
|
WB Positive control: |
Mouse lung tissue lysate |
|
WB Recommended dilution: |
500-2000 |

購物車
幫助
021-54845833/15800441009
