Background:
The protein encoded by this gene is a RNA binding protein containing two KH domains and one RCG box, which is similar to FMRP and FXR1. It associates with polyribosomes, predominantly with 60S large ribosomal subunits. This encoded protein may self-associate or interact with FMRP and FXR1. It may have a role in the development of fragile X mental retardation syndrome.
Applications:
ELISA, WB, IHC
Name of antibody:
FXR2
Immunogen:
Fusion protein of human FXR2
Full name:
FMR1 autosomal homolog 2
Synonyms:
FXR2P; FMR1L2
SwissProt:
P51116
ELISA Recommended dilution:
5000-10000
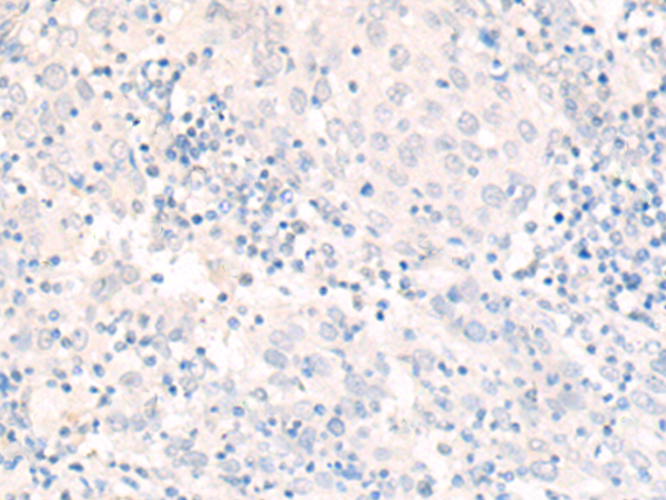
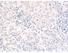
IHC positive control:
Human cervical cancer
IHC Recommend dilution:
25-100
WB Predicted band size:
74 kDa
WB Positive control:
RAW264.7 cell and Mouse kidney tissue lysates
WB Recommended dilution:
500-2000

購物車
幫助
021-54845833/15800441009
