中文名稱: 兔抗ACOX2多克隆抗體
|
Background: |
The product of this gene belongs to the acyl-CoA oxidase family. It encodes the branched-chain acyl-CoA oxidase which is involved in the degradation of long branched fatty acids and bile acid intermediates in peroxisomes. Deficiency of this enzyme results in the accumulation of branched fatty acids and bile acid intermediates, and may lead to Zellweger syndrome, severe mental retardation, and death in children. |
|
Applications: |
ELISA, WB, IHC |
|
Name of antibody: |
ACOX2 |
|
Immunogen: |
Fusion protein of human ACOX2 |
|
Full name: |
Acyl-CoA oxidase 2, branched chain |
|
Synonyms: |
BCOX; BRCOX; THCCox; BRCACOX |
|
SwissProt: |
Q99424 |
|
ELISA Recommended dilution: |
1000-2000 |
|
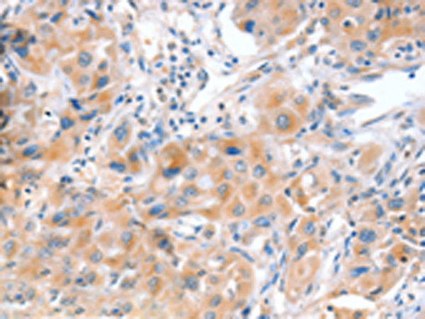
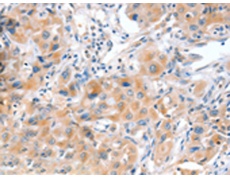
IHC positive control: |
Human lung cancer and human thyroid cancer |
|
IHC Recommend dilution: |
25-100 |
|
WB Predicted band size: |
77 kDa |
|
WB Positive control: |
Mouse liver and kidney tissue |
|
WB Recommended dilution: |
200-1000 |


購物車
幫助
021-54845833/15800441009
