中文名稱:兔抗ERBB2多克隆抗體
|
Background: |
The ErbB2 (HER2) proto-oncogene encodes a 185 kDa transmembrane, receptor-like glycoprotein with intrinsic tyrosine kinase activity. While ErbB2 lacks an identified ligand, ErbB2 kinase activity can be activated in the absence of a ligand when overexpressed and through heteromeric associations with other ErbB family members. Amplification of the ErbB2 gene and overexpression of its product are detected in almost 40% of human breast cancers. Binding of the c-Cbl ubiquitin ligase to ErbB2 at Tyr1112 leads to ErbB2 poly-ubiquitination and enhances degradation of this kinase. ErbB2 is a key therapeutic target in the treatment of breast cancer and other carcinomas and targeting the regulation of ErbB2 degradation by the c-Cbl-regulated proteolytic pathway is one potential therapeutic strategy. Phosphorylation of the kinase domain residue Tyr877 of ErbB2 (homologous to Tyr416 of pp60c-Src) may be involved in regulating ErbB2 biological activity. The major autophosphorylation sites in ErbB2 are Tyr1248 and Tyr1221/1222; phosphorylation of these sites couples ErbB2 to the Ras-Raf-MAP kinase signal transduction pathway. |
|
Applications: |
ELISA, WB, IHC |
|
Name of antibody: |
ERBB2 |
|
Immunogen: |
Synthetic peptide of human ERBB2 |
|
Full name: |
erb-b2 receptor tyrosine kinase 2 |
|
Synonyms: |
NEU; NGL; HER2; TKR1; CD340; HER-2; MLN 19; HER-2/neu |
|
SwissProt: |
P04626 |
|
ELISA Recommended dilution: |
5000-10000 |
|
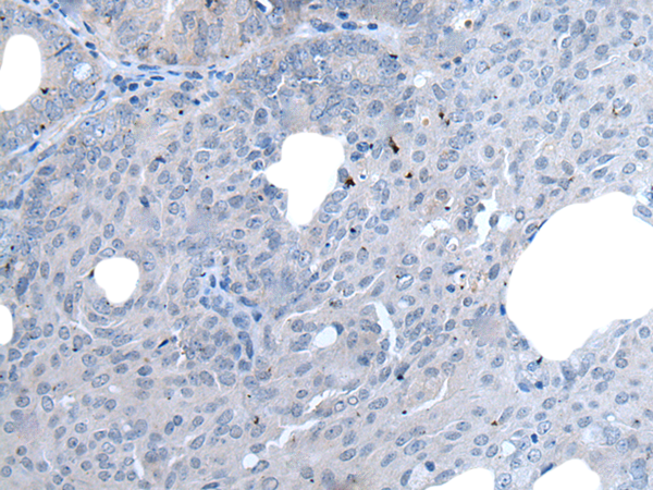
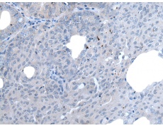
IHC positive control: |
Human brain and human ovarian cancer |
|
IHC Recommend dilution: |
20-100 |
|
WB Predicted band size: |
138 kDa |
|
WB Positive control: |
231 and Hela cell lysates |
|
WB Recommended dilution: |
200-1000 |


購物車
幫助
021-54845833/15800441009
