|
Background: |
This gene encodes a G protein-couple receptor protein. G-protein-coupled receptors are a large family of membrane proteins that are involved in cellular responses to environmental stimuli, neurotransmitters, and hormones. The encoded protein may play a role in neurodegenerative diseases. Epigenetic silencing of this gene has been observed in gliomas. |
|
Applications: |
ELISA, IHC |
|
Name of antibody: |
GPR26 |
|
Immunogen: |
Synthetic peptide of human GPR26 |
|
Full name: |
G protein-coupled receptor 26 |
|
SwissProt: |
Q8NDV2 |
|
ELISA Recommended dilution: |
5000-10000 |
|
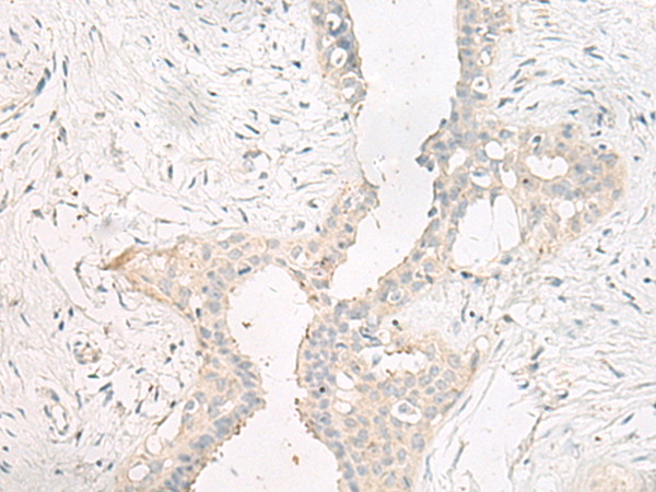
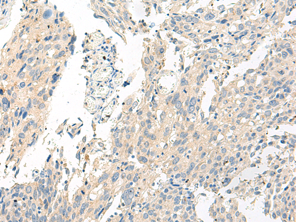
IHC positive control: |
Human cervical cancer and Human breast cancer |
|
IHC Recommend dilution: |
20-100 |

購物車
幫助
021-54845833/15800441009
