中文名稱:兔抗CNOT10多克隆抗體
|
Background: |
CNOT10 is a subunit of the CCR4-NOT complex which consists of at least five other CNOT subunit proteins and TAB182. The CCR4-NOT complex is an evolutionarily conserved, multi-component complex known to be involved in transcription, as well as in mRNA degradation. Various subunits (e.g. CNOT1, CNOT3) are uniquely involved in influencing nuclear hormone receptor activities. In effect, this complex has an important role as a transcription regulator and repressor of nuclear receptor signaling that is relevant to the molecular pathways involved in cancer. The CCR4-NOT complex is also involved in the regulation of Histone H3 lysine 4 methylation through a ubiquitin-dependent pathway that likely involves the proteasome. |
|
Applications: |
ELISA, IHC |
|
Name of antibody: |
CNOT10 |
|
Immunogen: |
Fusion protein of human CNOT10 |
|
Full name: |
CCR4-NOT transcription complex subunit 10 |
|
SwissProt: |
Q9H9A5 |
|
ELISA Recommended dilution: |
5000-10000 |
|
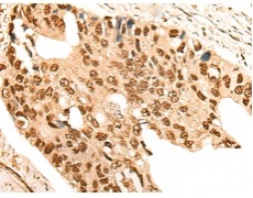
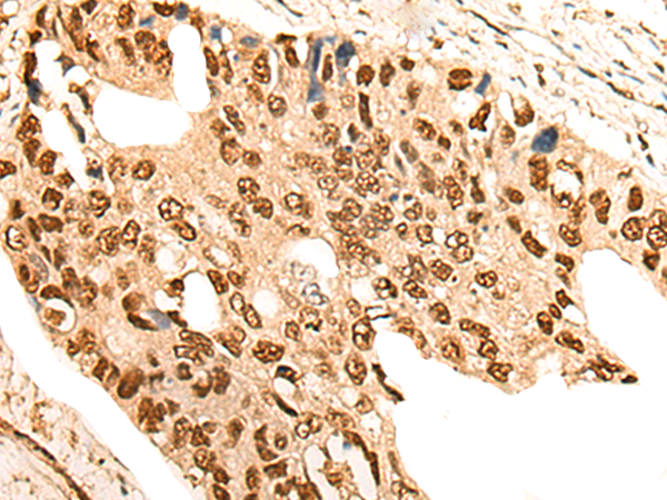
IHC positive control: |
Human prostate cancer |
|
IHC Recommend dilution: |
20-100 |
購物車
幫助
021-54845833/15800441009
