|
Background: |
This gene encodes a member of the cytochrome P450 superfamily of enzymes. The cytochrome P450 proteins are monooxygenases which catalyze many reactions involved in drug metabolism and synthesis of cholesterol, steroids and other lipids. This enzyme is a microsomal vitamin D hydroxylase that converts vitamin D into the active ligand for the vitamin D receptor. A mutation in this gene has been associated with selective 25-hydroxyvitamin D deficiency. |
|
Applications: |
ELISA, IHC |
|
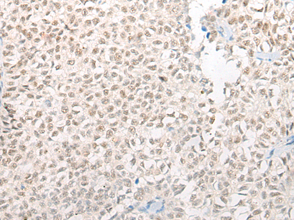
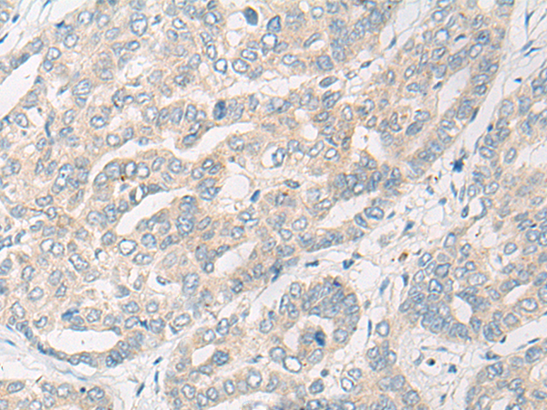
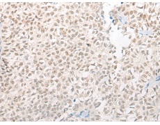
Name of antibody: |
CYP2R1 |
|
Immunogen: |
Synthetic peptide of human CYP2R1 |
|
Full name: |
cytochrome P450 family 2 subfamily R member 1 |
|
SwissProt: |
Q6VVX0 |
|
ELISA Recommended dilution: |
5000-10000 |
|
IHC positive control: |
Human liver cancer |
|
IHC Recommend dilution: |
20-100 |

購物車
幫助
021-54845833/15800441009
