中文名稱:兔抗CLDN4多克隆抗體
|
Background: |
Claudin 4, also known as CLDN4, is a protein which in humans is encoded by the CLDN4 gene. It belongs to the group of claudins. This gene encodes an integral membrane protein, which belongs to the claudin family. The protein is a component of tight junction strands and may play a role in internal organ development and function during pre- and postnatal life. This gene is deleted in Williams-Beuren syndrome, a neurodevelopmental disorder affecting multiple systems. |
|
Applications: |
ELISA, WB, IHC |
|
Name of antibody: |
CLDN4 |
|
Immunogen: |
Synthetic peptide of human CLDN4 |
|
Full name: |
claudin 4 |
|
Synonyms: |
CPER, CPE-R, CPETR, CPETR1, WBSCR8, hCPE-R |
|
SwissProt: |
O14493 |
|
ELISA Recommended dilution: |
1000-10000 |
|
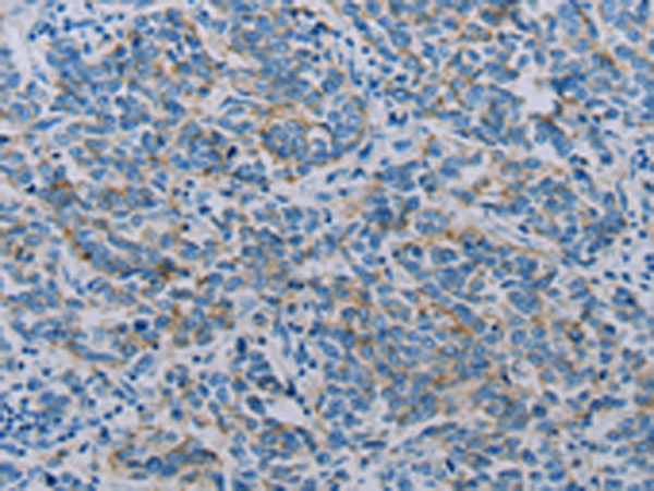
IHC positive control: |
Human breast cancer |
|
IHC Recommend dilution: |
25-100 |
|
WB Predicted band size: |
22 kDa |
|
WB Positive control: |
HT-29 cells |
|
WB Recommended dilution: |
500-2000 |

購物車
幫助
021-54845833/15800441009
