|
Background: |
In response to DNA damage and replication blocks, cell cycle progression is halted through the control of critical cell cycle regulators. The protein encoded by this gene is a cell cycle checkpoint regulator and putative tumor suppressor. It contains a forkhead-associated protein interaction domain essential for activation in response to DNA damage and is rapidly phosphorylated in response to replication blocks and DNA damage. |
|
Applications: |
WB, IHC |
|
Name of antibody: |
CHEK2(Ab-68) |
|
Immunogen: |
Synthesized non-phosphopeptide derived from human Chk2 around the phosphorylation site of threonine 68. |
|
Full name: |
checkpoint kinase 2 |
|
Synonyms: |
CDS1; CHK2; LFS2; RAD53; hCds1; HuCds1; PP1425 |
|
SwissProt: |
O96017 |
|
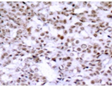
IHC positive control: |
Human breast carcinoma |
|
IHC Recommend dilution: |
50-100 |
|
WB Predicted band size: |
61 kDa |
|
WB Positive control: |
Jurkat and Hela cells lysates treated with etoposide 25uM 24hours |
|
WB Recommended dilution: |
500-3000 |
購物車
幫助
021-54845833/15800441009
