|
Background: |
The protein encoded by this gene is a member of the TNF-receptor superfamily. This receptor contributes to the clonal expansion, survival, and development of T cells. It can also induce proliferation in peripheral monocytes, enhance T cell apoptosis induced by TCR/CD3 triggered activation, and regulate CD28 co-stimulation to promote Th1 cell responses. The expression of this receptor is induced by lymphocyte activation. TRAF adaptor proteins have been shown to bind to this receptor and transduce the signals leading to activation of NF-kappaB. |
|
Applications: |
ELISA, IHC |
|
Name of antibody: |
TNFRSF9 |
|
Immunogen: |
Fusion protein of human TNFRSF9 |
|
Full name: |
TNF receptor superfamily member 9 |
|
Synonyms: |
ILA; 4-1BB; CD137; CDw137 |
|
SwissProt: |
Q07011 |
|
ELISA Recommended dilution: |
5000-10000 |
|
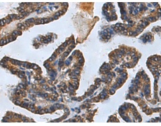
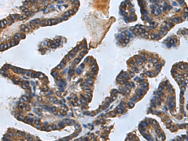
IHC positive control: |
Human thyroid cancer |
|
IHC Recommend dilution: |
200-300 |
購物車
幫助
021-54845833/15800441009
