|
Background: |
This gene encodes a protein belonging to the GTP-binding superfamily and to the immuno-associated nucleotide (IAN) subfamily of nucleotide-binding proteins. In humans, the IAN subfamily genes are located in a cluster at 7q36.1. This gene encodes an antiapoptotic protein that functions in T-cell survival. Polymorphisms in this gene are associated with systemic lupus erythematosus. Read-through transcription exists between this gene and the neighboring upstream GIMAP1 (GTPase, IMAP family member 1) gene. |
|
Applications: |
WB, IHC |
|
Name of antibody: |
GIMAP5 |
|
Immunogen: |
Synthesized peptide derived from internal of human GIMAP5. |
|
Full name: |
GTPase, IMAP family member 5 |
|
Synonyms: |
IAN4; IAN5; IROD; IAN-5; IMAP3; HIMAP3; IAN4L1 |
|
SwissProt: |
Q96F15 |
|
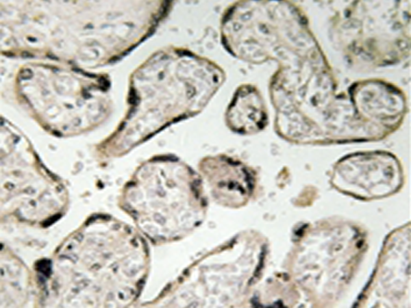
IHC positive control: |
Human placenta tissue |
|
IHC Recommend dilution: |
50-100 |
|
WB Predicted band size: |
35 kDa |
|
WB Positive control: |
Hela cells and HT29 cells lysates |
|
WB Recommended dilution: |
500-3000 |


購物車
幫助
021-54845833/15800441009
