|
Background: |
Von Hippel-Lindau syndrome (VHL) is a dominantly inherited familial cancer syndrome predisposing to a variety of malignant and benign tumors. A germline mutation of this gene is the basis of familial inheritance of VHL syndrome. The protein encoded by this gene is a component of the protein complex that includes elongin B, elongin C, and cullin-2, and possesses ubiquitin ligase E3 activity. |
|
Applications: |
ELISA, WB, IHC |
|
Name of antibody: |
VHL |
|
Immunogen: |
Full length fusion protein |
|
Full name: |
von Hippel-Lindau tumor suppressor, E3 ubiquitin protein ligase |
|
Synonyms: |
RCA1; VHL1; pVHL; HRCA1 |
|
SwissProt: |
P40337 |
|
ELISA Recommended dilution: |
2000-5000 |
|
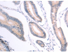
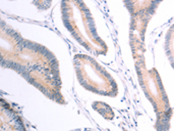
IHC positive control: |
Human colon cancer and Human thyroid cancer |
|
IHC Recommend dilution: |
25-100 |
|
WB Predicted band size: |
24 kDa |
|
WB Positive control: |
Human fetal brain tissue |
|
WB Recommended dilution: |
500-2000 |

購物車
幫助
021-54845833/15800441009
