|
Background: |
CTR9, parafibromin (CDC73; MIM 607393), LEO1 (MIM 610507), and PAF1 (MIM 610506) form the PAF protein complex, which associates with the RNA polymerase II subunit POLR2A (MIM 180660) and with a histone methyltransferase complex (Rozenblatt-Rosen et al., 2005 [PubMed 15632063]). |
|
Applications: |
ELISA, IHC |
|
Name of antibody: |
CTR9 |
|
Immunogen: |
Synthetic peptide of human CTR9 |
|
Full name: |
CTR9 homolog, Paf1/RNA polymerase II complex component |
|
Synonyms: |
TSBP; p150; SH2BP1; p150TSP |
|
SwissProt: |
Q6PD62 |
|
ELISA Recommended dilution: |
500-1000 |
|
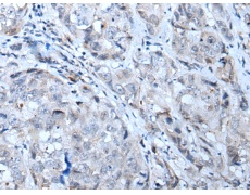
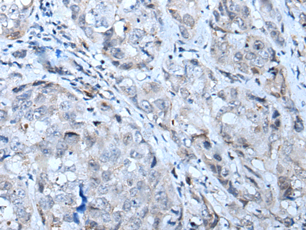
IHC positive control: |
Human breast cancer |
|
IHC Recommend dilution: |
20-100 |
購物車
幫助
021-54845833/15800441009
