中文名稱:兔抗CHP2多克隆抗體
|
Background: |
This gene product is a small calcium-binding protein that regulates cell pH by controlling plasma membrane-type Na+/H+ exchange activity. This protein shares sequence similarity with calcineurin B and can bind to and stimulate the protein phosphatase activity of calcineurin A (CnA) and functions in the calcineurin/NFAT (nuclear factor of activated T cells) signaling pathway. Another member of the CHP subfamily, Calcineurin B homologous protein 1, is located on Chromosome 15 and is an inhibitor of calcineurin activity and has a genetic phenotype associated with Parkinson's Disease (OMIM:606988). This gene was initially identified as a tumor-associated antigen and was previously referred to as Hepatocellular carcinoma-associated antigen 520. |
|
Applications: |
WB |
|
Name of antibody: |
CHP2 |
|
Immunogen: |
Synthesized peptide derived from internal of humanCHP2. |
|
Full name: |
calcineurin-like EF-hand protein 2 |
|
Synonyms: |
0 |
|
SwissProt: |
O43745 |
|
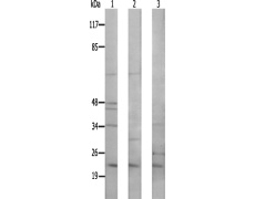
WB Predicted band size: |
22 kDa |
|
WB Positive control: |
Jurkat cells, K562 cells and HT-29 cells lysates |
|
WB Recommended dilution: |
500-3000 |
購(gòu)物車
幫助
021-54845833/15800441009
