中文名稱: 兔抗UBR2多克隆抗體
|
Background: |
This gene encodes an E3 ubiquitin ligase of the N-end rule proteolytic pathway that targets proteins with destabilizing N-terminal residues for polyubiquitylation and proteasome-mediated degradation. Alternative splicing results in multiple transcript variants. |
|
Applications: |
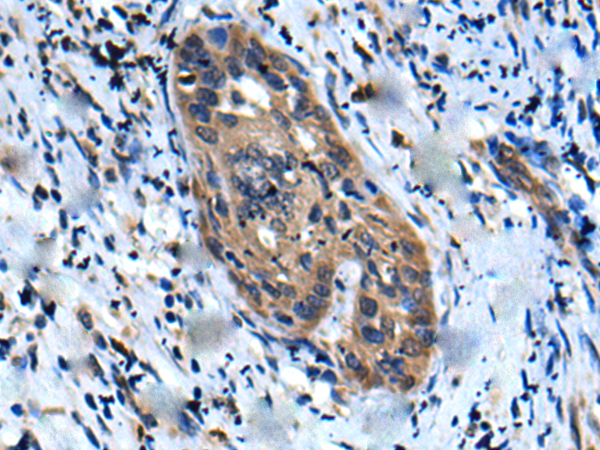
ELISA, IHC |
|
Name of antibody: |
UBR2 |
|
Immunogen: |
Fusion protein of human UBR2 |
|
Full name: |
ubiquitin protein ligase E3 component n-recognin 2 |
|
Synonyms: |
C6orf133; bA49A4.1; dJ242G1.1; dJ392M17.3 |
|
SwissProt: |
Q8IWV8 |
|
ELISA Recommended dilution: |
5000-10000 |
|
IHC positive control: |
Human colorectal cancer and human cervical cancer |
|
IHC Recommend dilution: |
25-100 |

購物車
幫助
021-54845833/15800441009
