中文名稱: 兔抗ADAMTS8多克隆抗體
|
Background: |
This gene encodes a member of the ADAMTS (a disintegrin and metalloproteinase with thrombospondin motifs) protein family. Members of the family share several distinct protein modules, including a propeptide region, a metalloproteinase domain, a disintegrin-like domain, and a thrombospondin type 1 (TS) motif. Individual members of this family differ in the number of C-terminal TS motifs, and some have unique C-terminal domains. The enzyme encoded by this gene contains two C-terminal TS motifs, and disrupts angiogenesis in vivo. A number of disorders have been mapped in the vicinity of this gene, most notably lung neoplasms. |
|
Applications: |
ELISA, IHC |
|
Name of antibody: |
ADAMTS8 |
|
Immunogen: |
Synthetic peptide of human ADAMTS8 |
|
Full name: |
ADAM metallopeptidase with thrombospondin type 1 motif, 8 |
|
Synonyms: |
METH2; ADAM-TS8 |
|
SwissProt: |
Q9UP79 |
|
ELISA Recommended dilution: |
5000-10000 |
|
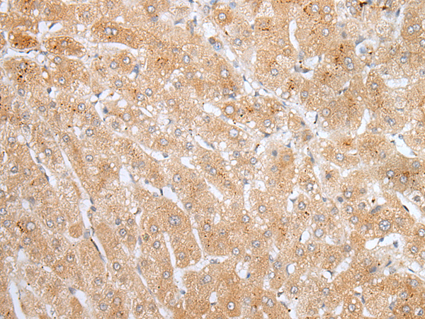
IHC positive control: |
Human liver cancer |
|
IHC Recommend dilution: |
20-100 |
購物車
幫助
021-54845833/15800441009
