|
Background: |
The Lyr motif found in the LYR-motif containing protein family is similar to that found in the sacchromyces cerevisiae protein ISD11, an iron-sulfur protein in the mitochondria that is thought to play a role in iron homeostasis. No known function has been assigned to LYRM2, although LYRM1 is thought to be involved in preadipocyte progression and LYRM3 has been suggested to be a candidate gene for the branchio-oto-renal (BOR) syndrome. |
|
Applications: |
ELISA, IHC |
|
Name of antibody: |
LYRM2 |
|
Immunogen: |
Fusion protein of human LYRM2 |
|
Full name: |
LYR motif containing 2 |
|
Synonyms: |
DJ122O8.2 |
|
SwissProt: |
Q9NU23 |
|
ELISA Recommended dilution: |
5000-10000 |
|
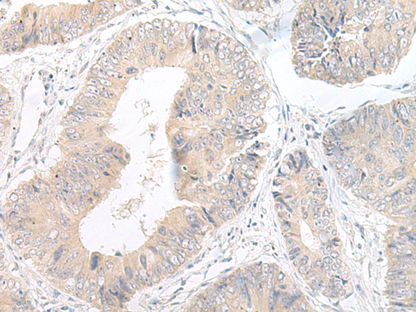
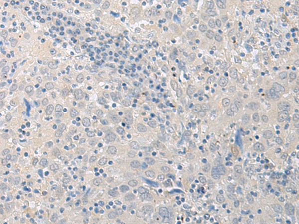
IHC positive control: |
Human colorectal cancer and Human cervical cancer |
|
IHC Recommend dilution: |
50-300 |


購(gòu)物車(chē)
幫助
021-54845833/15800441009
