|
Background: |
This gene encodes a type I integral membrane glycoprotein. The encoded protein acts as a receptor and binds to both soluble and immobilized hyaluronan. This protein may function in lymphatic hyaluronan transport and have a role in tumor metastasis. |
|
Applications: |
ELISA, WB, IHC |
|
Name of antibody: |
LYVE1 |
|
Immunogen: |
Fusion protein of human LYVE1 |
|
Full name: |
lymphatic vessel endothelial hyaluronan receptor 1 |
|
Synonyms: |
HAR, XLKD1, LYVE-1, CRSBP-1 |
|
SwissProt: |
Q9Y5Y7 |
|
ELISA Recommended dilution: |
2000-5000 |
|
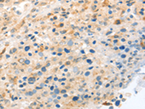
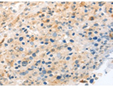
IHC positive control: |
Human ovarian cancer |
|
IHC Recommend dilution: |
25-100 |
|
WB Predicted band size: |
35 kDa |
|
WB Positive control: |
A431 cells |
|
WB Recommended dilution: |
100-500 |


購物車
幫助
021-54845833/15800441009
