中文名稱:兔抗TTR多克隆抗體
|
Background: |
This gene encodes one of the three prealbumins, which include alpha-1-antitrypsin, transthyretin and orosomucoid. The encoded protein, transthyretin, is a homo-tetrameric carrier protein, which transports thyroid hormones in the plasma and cerebrospinal fluid. It is also involved in the transport of retinol (vitamin A) in the plasma by associating with retinol-binding protein. The protein may also be involved in other intracellular processes including proteolysis, nerve regeneration, autophagy and glucose homeostasis. Mutations in this gene are associated with amyloid deposition, predominantly affecting peripheral nerves or the heart, while a small percentage of the gene mutations are non-amyloidogenic. The mutations are implicated in the etiology of several diseases, including amyloidotic polyneuropathy, euthyroid hyperthyroxinaemia, amyloidotic vitreous opacities, cardiomyopathy, oculoleptomeningeal amyloidosis, meningocerebrovascular amyloidosis and carpal tunnel syndrome. |
|
Applications: |
ELISA, WB, IHC |
|
Name of antibody: |
TTR |
|
Immunogen: |
Fusion protein of human TTR |
|
Full name: |
transthyretin |
|
Synonyms: |
CTS; ATTR; CTS1; PALB; TBPA; HEL111; HsT2651 |
|
SwissProt: |
P02766 |
|
ELISA Recommended dilution: |
5000-10000 |
|
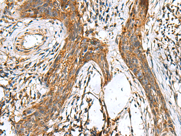
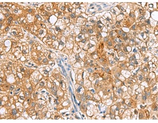
IHC positive control: |
Human liver cancer and Human esophagus cancer |
|
IHC Recommend dilution: |
50-200 |
|
WB Predicted band size: |
16 kDa |
|
WB Positive control: |
Mouse serum |
|
WB Recommended dilution: |
500-2000 |



購物車
幫助
021-54845833/15800441009
