|
Background: |
May modulate activity of cullin-RING E3 ubiquitin ligase (CRL) complexes (PubMed:21778237). May down-regulate activation of NF-kappa-B (PubMed:15799966). |
|
Applications: |
ELISA, WB, IHC |
|
Name of antibody: |
COMMD10 |
|
Immunogen: |
Fusion protein of human COMMD10 |
|
Full name: |
COMM domain containing 10 |
|
Synonyms: |
PTD002 |
|
SwissProt: |
Q9Y6G5 |
|
ELISA Recommended dilution: |
5000-10000 |
|
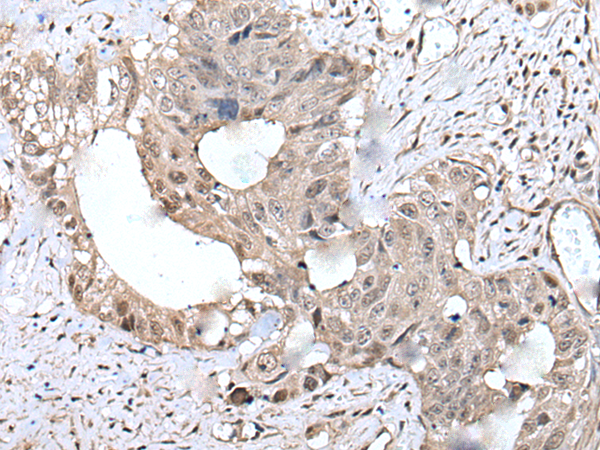
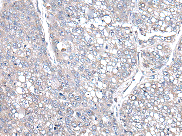
IHC positive control: |
Human liver cancer and human colorectal cancer |
|
IHC Recommend dilution: |
25-100 |
|
WB Predicted band size: |
23 kDa |
|
WB Positive control: |
HEPG2,293T and Hela cell lysates |
|
WB Recommended dilution: |
200-1000 |


購(gòu)物車
幫助
021-54845833/15800441009
