|
Background: |
This gene encodes a protein that binds to microRNA-targeting sequences of mRNAs, inhibiting microRNA-mediated repression. Reduced expression of this gene has been implicated in tongue squamous cell carcinoma. Two pseudogenes of this gene are located on the long arm of chromosome 17. |
|
Applications: |
ELISA, IHC |
|
Name of antibody: |
DND1 |
|
Immunogen: |
Synthetic peptide of human DND1 |
|
Full name: |
DND microRNA-mediated repression inhibitor 1 |
|
Synonyms: |
RBMS4 |
|
SwissProt: |
Q8IYX4 |
|
ELISA Recommended dilution: |
5000-10000 |
|
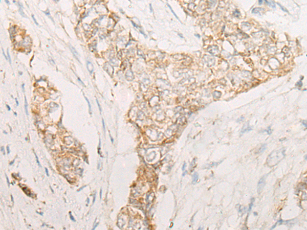
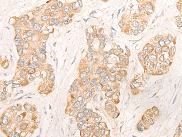
IHC positive control: |
Human liver cancer;Human breast cancer |
|
IHC Recommend dilution: |
20-100 |

購物車
幫助
021-54845833/15800441009
