|
Background: |
This gene encodes a member of the AAA (ATPases associated with a variety of cellular activities) protein family. Members of this protein family share an ATPase domain and have roles in diverse cellular processes including membrane trafficking, intracellular motility, organelle biogenesis, protein folding, and proteolysis. The encoded ATPase may be involved in the assembly or function of nuclear protein complexes. Two transcript variants encoding distinct isoforms have been identified for this gene. Other alternative splice variants have been described but their full length sequences have not been determined. Mutations associated with this gene cause the most frequent form of autosomal dominant spastic paraplegia 4. |
|
Applications: |
ELISA, IHC |
|
Name of antibody: |
SPAST |
|
Immunogen: |
Synthetic peptide of human SPAST |
|
Full name: |
spastin |
|
Synonyms: |
FSP2; SPG4; ADPSP |
|
SwissProt: |
Q9UBP0 |
|
ELISA Recommended dilution: |
1000-2000 |
|
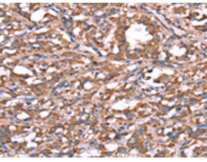
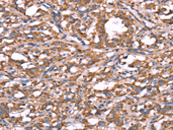
IHC positive control: |
Human thyroid cancer and Human brain |
|
IHC Recommend dilution: |
25-100 |
購物車
幫助
021-54845833/15800441009
