中文名稱:兔抗ELOVL3多克隆抗體
|
Background: |
This gene encodes a protein that belongs to the GNS1/SUR4 family. Members of this family play a role in elongation of long chain fatty acids to provide precursors for synthesis of sphingolipids and ceramides. |
|
Applications: |
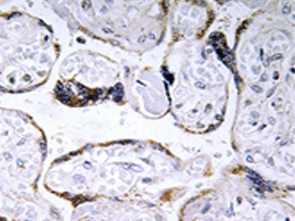
IHC |
|
Name of antibody: |
ELOVL3 |
|
Immunogen: |
Synthesized peptide derived from internal of human ELOVL3. |
|
Full name: |
ELOVL fatty acid elongase 3 |
|
Synonyms: |
CIG30; CIG-30 |
|
SwissProt: |
Q9HB03 |
|
IHC positive control: |
Human placenta tissue |
|
IHC Recommend dilution: |
50-100 |
購物車
幫助
021-54845833/15800441009
