|
Background: |
CHCHD5 (Coiled-coil-helix-coiled-coil-helix domain-containing protein 5) is a 110 amino acid protein that contains one CHCH domain. The gene encoding CHCHD5 maps to human chromosome 2, which consists of 237 million bases encoding over 1,400 genes and making up approximately 8% of the human genome. A number of genetic diseases are linked to genes on chromosome 2. Harlequin icthyosis, a rare and morbid skin deformity, is associated with mutations in the ABCA12 gene. The lipid metabolic disorder sitosterolemia is associated with ABCG5 and ABCG8. An extremely rare recessive genetic disorder, Alstr?m syndrome is due to mutations in the ALMS1 gene. Interestingly, chromosome 2 contains what appears to be a vestigial second centromere and vestigial telomeres which gives credence to the hypothesis that human chromosome 2 is the result of an ancient fusion of two ancestral chromosomes seen in modern form today in apes. |
|
Applications: |
ELISA, IHC |
|
Name of antibody: |
CHCHD5 |
|
Immunogen: |
Full length fusion protein |
|
Full name: |
coiled-coil-helix-coiled-coil-helix domain containing 5 |
|
Synonyms: |
MIC14; C2orf9 |
|
SwissProt: |
Q9BSY4 |
|
ELISA Recommended dilution: |
5000-10000 |
|
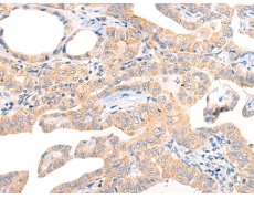
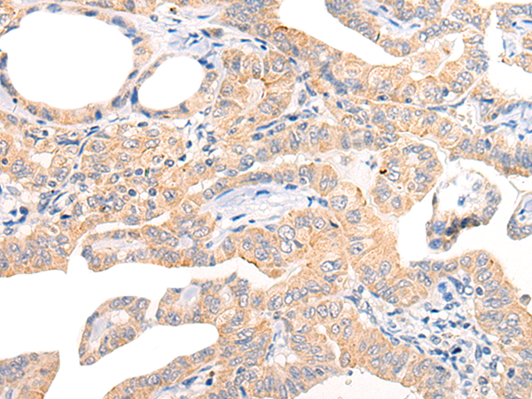
IHC positive control: |
Human thyroid cancer and Human gastric cancer |
|
IHC Recommend dilution: |
20-100 |
購物車
幫助
021-54845833/15800441009
