|
Background: |
This gene encodes a DNA helicase protein involved in DNA repair. The protein converts ATP to add poly(ADP-ribose) as it regulates chromatin relaxation following DNA damage. Several alternatively spliced transcripts variants have been described for this gene. |
|
Applications: |
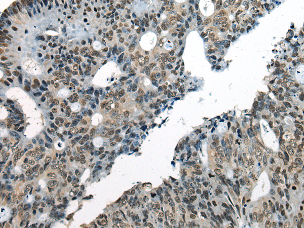
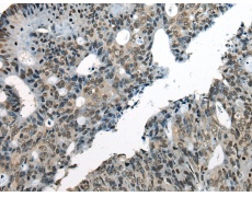
ELISA, IHC |
|
Name of antibody: |
CHD1L |
|
Immunogen: |
Synthetic peptide of human CHD1L |
|
Full name: |
chromodomain helicase DNA binding protein 1 like |
|
Synonyms: |
ALC1; CHDL |
|
SwissProt: |
Q86WJ1 |
|
ELISA Recommended dilution: |
5000-10000 |
|
IHC positive control: |
Human colorectal cancer |
|
IHC Recommend dilution: |
25-100 |
購物車
幫助
021-54845833/15800441009
