|
Background: |
The protein encoded by this gene is an inner mitochondrial membrane scaffold protein. Absence of the encoded protein affects the structural integrity of mitochondrial cristae and leads to reductions in ATP production, cell growth, and oxygen consumption. This protein is part of the mitochondrial contact site and cristae organizing system (MICOS). Several transcript variants encoding different isoforms have been found for this gene. |
|
Applications: |
ELISA, WB, IHC |
|
Name of antibody: |
CHCHD3 |
|
Immunogen: |
Full length fusion protein |
|
Full name: |
coiled-coil-helix-coiled-coil-helix domain containing 3 |
|
Synonyms: |
Mic19; MINOS3; PPP1R22 |
|
SwissProt: |
Q9NX63 |
|
ELISA Recommended dilution: |
5000-10000 |
|
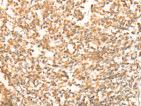
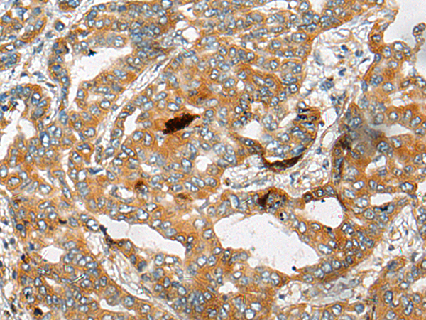
IHC positive control: |
Human liver cancer and Human tonsil |
|
IHC Recommend dilution: |
25-100 |
|
WB Predicted band size: |
26 kDa |
|
WB Positive control: |
293T, A549, Jurkat and HEPG2 cell lysates |
|
WB Recommended dilution: |
500-2000 |
購(gòu)物車
幫助
021-54845833/15800441009
