|
Background: |
This gene encodes an enzyme which catalyzes the biosynthesis of the neurotransmitter acetylcholine. This gene product is a characteristic feature of cholinergic neurons, and changes in these neurons may explain some of the symptoms of Alzheimer's disease. Polymorphisms in this gene have been associated with Alzheimer's disease and mild cognitive impairment. Mutations in this gene are associated with congenital myasthenic syndrome associated with episodic apnea. Multiple transcript variants encoding different isoforms have been found for this gene, and some of these variants have been shown to encode more than one isoform. |
|
Applications: |
ELISA, IHC |
|
Name of antibody: |
CHAT |
|
Immunogen: |
Fusion protein of human CHAT |
|
Full name: |
choline O-acetyltransferase |
|
Synonyms: |
CMS6; CMS1A; CMS1A2; CHOACTASE |
|
SwissProt: |
P28329 |
|
ELISA Recommended dilution: |
5000-10000 |
|
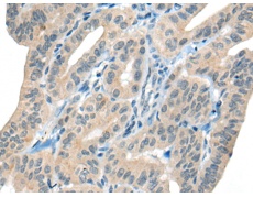
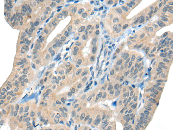
IHC positive control: |
Human thyroid cancer |
|
IHC Recommend dilution: |
25-100 |
購(gòu)物車
幫助
021-54845833/15800441009
