|
Background: |
DiGeorge syndrome, and more widely, the CATCH 22 syndrome, are associated with microdeletions in chromosomal region 22q11.2. The product of this gene shares homology with the Drosophila melanogaster gonadal protein, which participates in gonadal and germ cell development, and with the gamma-1 subunit of human laminin. This gene is a candidate for involvement in DiGeorge syndrome pathology and in schizophrenia. |
|
Applications: |
ELISA, WB, IHC |
|
Name of antibody: |
DGCR6 |
|
Immunogen: |
Synthetic peptide of human DGCR6 |
|
Full name: |
DiGeorge syndrome critical region gene 6 |
|
SwissProt: |
Q14129 |
|
ELISA Recommended dilution: |
5000-10000 |
|
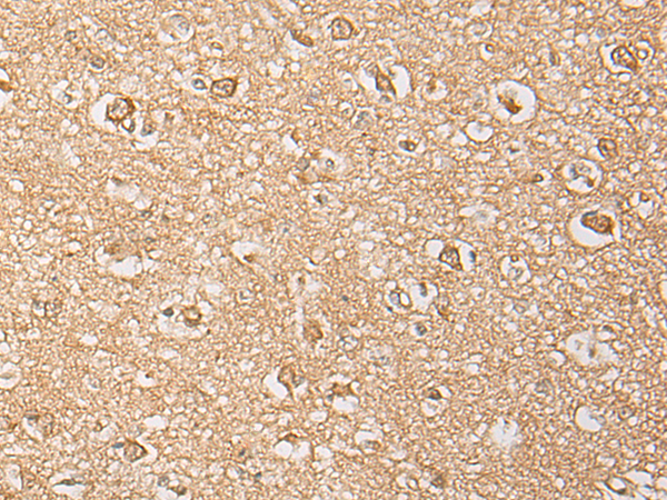
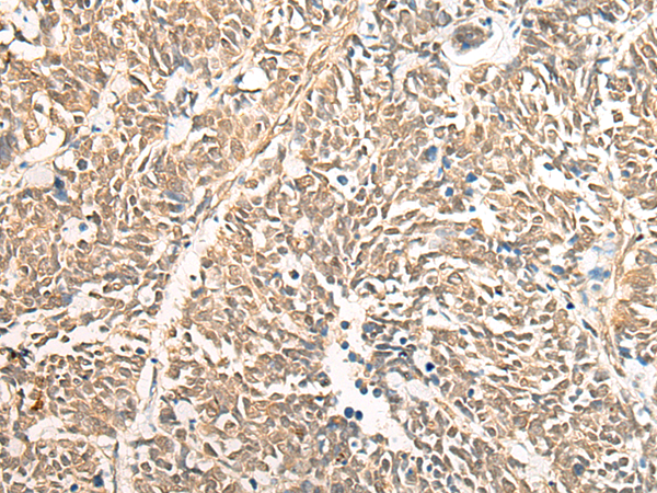
IHC positive control: |
Human brain;Human lung cancer |
|
IHC Recommend dilution: |
25-100 |
|
WB Predicted band size: |
25 kDa |
|
WB Positive control: |
293T cell lysate |
|
WB Recommended dilution: |
200-1000 |


購物車
幫助
021-54845833/15800441009
